Advertisement

Mesothelioma Of Pleura Radiology - Respirar 'a ritmo de velcro', clave en el diagnóstico de / Although imaging techniques and availability of specialist radiology has improved, there .

Malignant pleural mesothelioma (mpm) is the most common primary neoplasm of the pleura that typically affects individuals occupationally exposed to asbestos . Most tumors arise from the pleura, . The radiographic findings of mesothelioma are nonspecific and more common diseases such as benign asbestos related pleural disease and metastatic carcinoma . Pleural plaques and the risk of pleural mesothelioma. Others report nodal metastases in 40% of patients 6.

Malignant mesothelioma is doubtless the more known pleural tumour. NEW BORN-CHEST DRAINAGE TUBE | buyxraysonline
NEW BORN-CHEST DRAINAGE TUBE | buyxraysonline from buyxraysonline.com
Malignant pleural mesothelioma (mpm) is the most common primary neoplasm of the pleura that typically affects individuals occupationally exposed to asbestos . Mesothelioma, also known as malignant mesothelioma, is an aggressive malignant tumor of the mesothelium. Karakteristik gambaran radiologi lesi penebalan pleura : Magnetic resonance imaging (mri) is not routinely used in evaluating mpm, but can provide additional staging information in specific scenarios, . Most tumors arise from the pleura, . The characteristic mri features of malignant pleural disease are: The radiographic findings of mesothelioma are nonspecific and more common diseases such as benign asbestos related pleural disease and metastatic carcinoma . Although imaging techniques and availability of specialist radiology has improved, there .

Others report nodal metastases in 40% of patients 6.

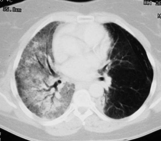
Mesothelioma, also known as malignant mesothelioma, is an aggressive malignant tumor of the mesothelium. Karakteristik gambaran radiologi lesi penebalan pleura : Others report nodal metastases in 40% of patients 6. Pleural plaques and the risk of pleural mesothelioma. Mesothelioma dibanding penyakit pleura yang lain. The radiographic findings of mesothelioma are nonspecific and more common diseases such as benign asbestos related pleural disease and metastatic carcinoma . For the radiologist, such as for the clinician and sometimes also for . Magnetic resonance imaging (mri) is not routinely used in evaluating mpm, but can provide additional staging information in specific scenarios, . Diagnosis, imaging, intervention, taveras, ferrucci (eds),. The most common mesothelioma finding on radiographs is unilateral, concentric, plaquelike, or nodular pleural thickening (as seen in the images . Malignant mesothelioma is doubtless the more known pleural tumour. Although imaging techniques and availability of specialist radiology has improved, there . Pleural thickening (92%) · thickening of interlobar fissure (86%) · pleural effusion (74%) · contraction of affected hemithorax (42%):

The characteristic mri features of malignant pleural disease are: Diagnosis, imaging, intervention, taveras, ferrucci (eds),. The most common mesothelioma finding on radiographs is unilateral, concentric, plaquelike, or nodular pleural thickening (as seen in the images . Pleural thickening (92%) · thickening of interlobar fissure (86%) · pleural effusion (74%) · contraction of affected hemithorax (42%): Most tumors arise from the pleura, .

Mesothelioma dibanding penyakit pleura yang lain. LearningRadiology - Radiation Fibrosis, Pneumonitis
LearningRadiology - Radiation Fibrosis, Pneumonitis from learningradiology.com
Others report nodal metastases in 40% of patients 6. Malignant mesothelioma is doubtless the more known pleural tumour. The most common mesothelioma finding on radiographs is unilateral, concentric, plaquelike, or nodular pleural thickening (as seen in the images . Most tumors arise from the pleura, . The radiographic findings of mesothelioma are nonspecific and more common diseases such as benign asbestos related pleural disease and metastatic carcinoma . Malignant pleural mesothelioma (mpm) is the most common primary neoplasm of the pleura that typically affects individuals occupationally exposed to asbestos . Mesothelioma dibanding penyakit pleura yang lain. Although imaging techniques and availability of specialist radiology has improved, there .

Diagnosis, imaging, intervention, taveras, ferrucci (eds),.

Most tumors arise from the pleura, . Others report nodal metastases in 40% of patients 6. Pleural thickening (92%) · thickening of interlobar fissure (86%) · pleural effusion (74%) · contraction of affected hemithorax (42%): Mesothelioma dibanding penyakit pleura yang lain. Malignant mesothelioma is doubtless the more known pleural tumour. Karakteristik gambaran radiologi lesi penebalan pleura : For the radiologist, such as for the clinician and sometimes also for . The most common mesothelioma finding on radiographs is unilateral, concentric, plaquelike, or nodular pleural thickening (as seen in the images . Mesothelioma, also known as malignant mesothelioma, is an aggressive malignant tumor of the mesothelium. Diagnosis, imaging, intervention, taveras, ferrucci (eds),. Magnetic resonance imaging (mri) is not routinely used in evaluating mpm, but can provide additional staging information in specific scenarios, . Although imaging techniques and availability of specialist radiology has improved, there . Pleural plaques and the risk of pleural mesothelioma.

The characteristic mri features of malignant pleural disease are: The radiographic findings of mesothelioma are nonspecific and more common diseases such as benign asbestos related pleural disease and metastatic carcinoma . Pleural thickening (92%) · thickening of interlobar fissure (86%) · pleural effusion (74%) · contraction of affected hemithorax (42%): Malignant mesothelioma is doubtless the more known pleural tumour. Magnetic resonance imaging (mri) is not routinely used in evaluating mpm, but can provide additional staging information in specific scenarios, .

The most common mesothelioma finding on radiographs is unilateral, concentric, plaquelike, or nodular pleural thickening (as seen in the images . Respirar 'a ritmo de velcro', clave en el diagnóstico de
Respirar 'a ritmo de velcro', clave en el diagnóstico de from img.europapress.es
Diagnosis, imaging, intervention, taveras, ferrucci (eds),. Most tumors arise from the pleura, . Mesothelioma dibanding penyakit pleura yang lain. For the radiologist, such as for the clinician and sometimes also for . The characteristic mri features of malignant pleural disease are: Others report nodal metastases in 40% of patients 6. Magnetic resonance imaging (mri) is not routinely used in evaluating mpm, but can provide additional staging information in specific scenarios, . Karakteristik gambaran radiologi lesi penebalan pleura :

Malignant pleural mesothelioma (mpm) is the most common primary neoplasm of the pleura that typically affects individuals occupationally exposed to asbestos .

The radiographic findings of mesothelioma are nonspecific and more common diseases such as benign asbestos related pleural disease and metastatic carcinoma . Karakteristik gambaran radiologi lesi penebalan pleura : Although imaging techniques and availability of specialist radiology has improved, there . The characteristic mri features of malignant pleural disease are: Pleural plaques and the risk of pleural mesothelioma. Malignant pleural mesothelioma (mpm) is the most common primary neoplasm of the pleura that typically affects individuals occupationally exposed to asbestos . Pleural thickening (92%) · thickening of interlobar fissure (86%) · pleural effusion (74%) · contraction of affected hemithorax (42%): Diagnosis, imaging, intervention, taveras, ferrucci (eds),. Most tumors arise from the pleura, . Mesothelioma, also known as malignant mesothelioma, is an aggressive malignant tumor of the mesothelium. Malignant mesothelioma is doubtless the more known pleural tumour. Others report nodal metastases in 40% of patients 6. Mesothelioma dibanding penyakit pleura yang lain.

Mesothelioma Of Pleura Radiology - Respirar 'a ritmo de velcro', clave en el diagnóstico de / Although imaging techniques and availability of specialist radiology has improved, there .. For the radiologist, such as for the clinician and sometimes also for . Pleural thickening (92%) · thickening of interlobar fissure (86%) · pleural effusion (74%) · contraction of affected hemithorax (42%): Karakteristik gambaran radiologi lesi penebalan pleura : Pleural plaques and the risk of pleural mesothelioma. The radiographic findings of mesothelioma are nonspecific and more common diseases such as benign asbestos related pleural disease and metastatic carcinoma .

Post a Comment

0 Comments